Falsificeret. Hjernen er måske ikke helt så omstillingsparat, som forskere har troet.
Amputeret plasticitet
I Falsificeret udfordrer vi hver uge vedtagne sandheder, afliver forældet viden og ser på fusk og fejl i forskningens verden.
Det, vi troede, vi vidste
Hjerneforskere har længe ment, at hjernen er ekstremt plastisk og kan omfordele funktioner efter amputation af en kropsdel, så nerverne lærer at reagere på berøring andre steder på kroppen. Forsøg med aber har bakket hypotesen op, og ideen har ligget til grund for behandling af fantomsmerter hos patienter, der stadig mærker smertesignaler fra mistede kropsdele.

Det, vi ved nu
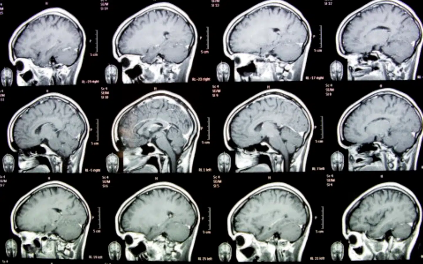
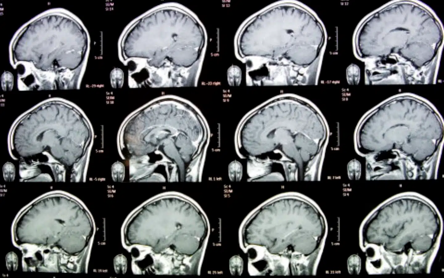
Men for første gang har hjerneforskere fra University of Cambridge i Storbritannien nu sammenlignet hjerneaktiviteten hos tre mennesker før og efter amputation af en arm. Det overraskende resultat var, at hjernen ikke havde ændret sig.
Selv når deltagerne forestillede sig at bevæge fingre, de ikke længere havde, forblev signalerne uændrede i de hjerneområder, der behandler sanseinformation. Forskerne validerede forsøget ved hjælp af kunstig intelligens, der bekræftede, at hjernesignalerne var ens før og efter amputation. Det samme gjaldt ved scanninger af yderligere 26 personer, der havde mistet en arm for op til 23 år siden. Forsøget kan få stor betydning for behandlingen af fantomsmerter, hvor man tidligere har forsøgt at narre hjernen til at omorganisere sig – for eksempel via virtual reality.
Men …
Forskerne har dog endnu ikke en løsning på, hvordan man i fremtiden kan lindre fantomsmerter. Fremtidig forskning skal undersøge, om det kan hjælpe at pode de overskårne nerver ind i nyt væv, så de ikke vokser videre og sender smertefulde fejlsignaler. Mette Juul Rasmussen
Nature Neuroscience, 21. august
Del:


