Falsificeret. Ifølge tre forskere gør det mere skade end gavn at kalde tidlige ændringer i prostata for kræft.
Ugavnligt navn
I Falsificeret udfordrer vi hver uge vedtagne sandheder, afliver forældet viden og ser på fusk og fejl i forskningens verden.
Det, vi troede, vi vidste
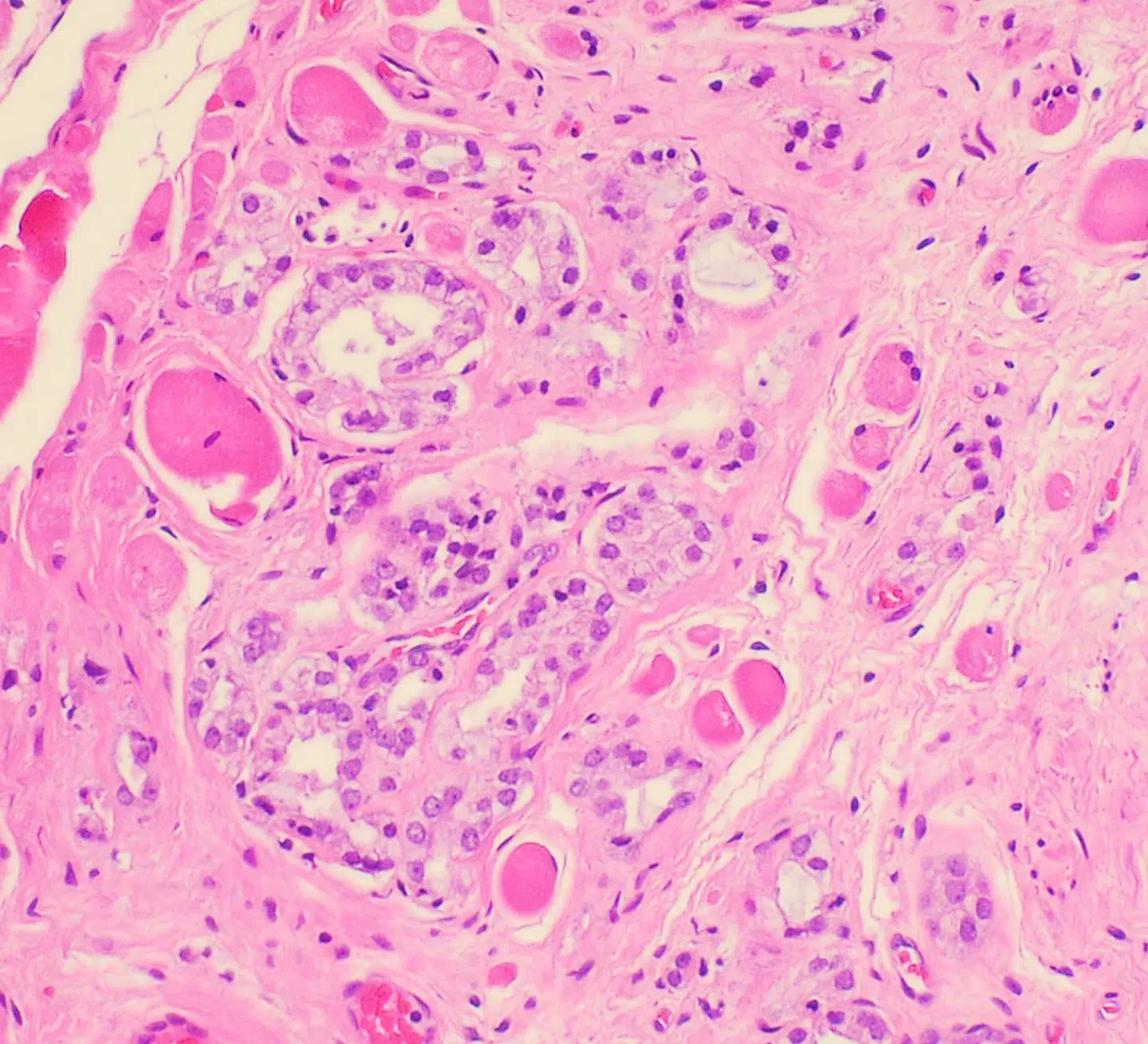
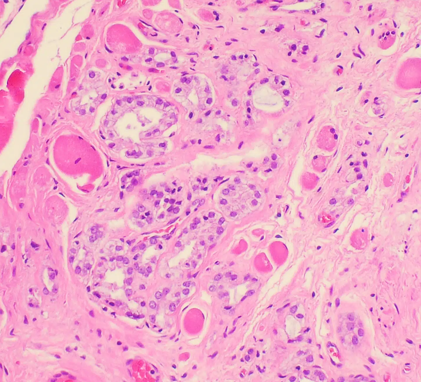
Omkring halvdelen af alle 50-årige mænd har kræftceller i prostata, blærehalskirtlen, der sidder under urinblæren, mens det er tilfældet for omkring 75 procent af alle 75-årige mænd, viser tal fra Prostatakræftforeningen. Det er dog langtfra alle cellerne, som er aggressive eller spreder sig til resten af kroppen. Når læger opdager tidlige celleforandringer eller mutationer i prostata, diagnosticerer de patienterne med kræft.
Det, vi ved nu
Men nu argumenterer tre forskere i en artikel i Journal of the National Cancer Institute for, at den praksis skal stoppes. For i visse tilfælde af såkaldt low grade cancer kaldet GG1, hvor kræftcellerne er få og ikke har muteret, sker det kun sjældent, at cellerne bliver aggressive eller spreder sig.
I artiklen lyder det fra forskerne, at en navneændring af GG1-stadiet vil få positive effekter for patienter, da en kræftdiagnose giver forøget risiko for sundhedsskadelig overbehandling, ligesom den har store konsekvenser for patientens mentale helbred, da mange forbinder kræft med et slemt sygdomsforløb eller død. Tilstanden er let at opdage og behandle og kan derfor med fordel omdøbes, vurderer forskerne. De foreslår, at GG1 i stedet skal kaldes et »incidentalom«, som er en asymptomatisk tumor.

Men ...
Modargumenter mod en navneændring lyder, at det særligt er ældre mænd, som får diagnosen, og der er en risiko for, at de ikke vil gide holde øje med eventuelle udviklinger, hvis lægen ikke kalder celleforandringerne for kræft. Det er netop den tætte monitorering af udviklingen af GG1, der er skyld i, at sygdommen har så lav dødelighed, argumenterer forskere. maje
Eurekalert, 1. oktober
Del:



